
Synthetic coating for your stem cells
Advance your stem cell culture to a reliable,
easy and synthetic surface

Synthetic coating for your stem cells
Advance your stem cell culture to a reliable,
easy and synthetic surface.



PURITY
Provides a defined, xeno-free microenvironment for reliable cell culture

PREDICTABILITY
Ensures consistent cell culture with minimal variability
Do you want to try a new unique
BIOINSTRUCT™ technology?

BIOINSTRUCT™ maintains characteristic iPSC morphology
Induced pluripotent stem cells (iPSCs) cultured on BIOINSTRUCT™ exhibit a compact morphology, characterized by tightly packed colonies and a high nuclear-to-cytoplasmic ratio, indicative of their undifferentiated state and strong pluripotency.
BIOINSTRUCT™ support robust proliferation of iPSCs
- iPSCs demonstrate robust proliferation over 10 passages on BIOINSTRUCT™ with single-cell and clump splitting routines in different cell lines and cell culture media
- iPSCs demonstrate robust proliferation over 10 passages on BIOINSTRUCT™, while maintaining high expression of characteristic stemness markers
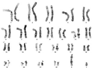
BIOINSTRUCT™ maintains the genetic integrity of iPSCs
iPSCs cultured on the BIOINSTRUCT™ platform maintain their genetic stability over multiple passages. Even after Passage 10 (P10), these cells continue to exhibit a normal Karyotype, demonstrating their robustness and suitability for extended use. Furthermore, they retain their unique cellular identity, as confirmed by STR assays.

BIOINSTRUCT™ keeps iPSCs pluripotent

iPSC on BIOINSTRUCT™ remain pluripotent – iPSCs can differentiate into the three germ-layers: Endoderm, Ectoderm, Mesoderm (Scale bar: 250 µm)
Elina,
Principal Staff Scientist
“In my daily workflow, Bioinstruct has significantly cut down the time needed for plating and maintenance, while consistently delivering robust iPSC attachment and growth over many passages. Its straightforward, user-friendly protocol has made a notable difference in streamlining experiments and ensuring reproducibility across the board.”
Rosela,
Biologist
“I had the chance to work with Bioinstruct, and I’m genuinely impressed. The product stands out for its intuitive design and user-friendly handling, making complex processes much easier to manage. As a student, I really appreciated how quickly I could get started and achieve great results.”
Available as ready-to-use plates or coating solutions — tailored for your lab’s needs.
If you would like to learn more about BIOINSTRUCT™ technology or use it in your research, please fill out the contact form.
Schedule a meeting with an expert to know more about BIOINSTRUCT™
Do you want to try a new unique
BIOINSTRUCT™ technology?





